Нов случай на туберкулоза в Кърджали,заболелите в региона се увеличават тревожно

Нов случай на туберкулоза бе регистриран от здравните власти в област Кърджали през изминалата седмица.С него общият брой на установените пациенти с „жълтата гостенка” стават 11,сред които и едно дете.

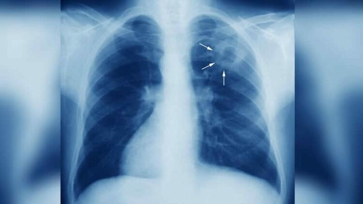
Увеличаване на белодробните заболявания отчитат специалистите в Седмицата на отворените врати, когато се направиха безплатни прегледи за диагностика и лечение на туберкулозата.

23 юни бе последния ден в който можехме да си направите безплатен преглед и диагностика на туберкулоза в МБАЛ ”Д-р Атанас Дафовски” в Кърджали. Безплатните прегледи  са част от кампанията "Седмица на отворените врати", която се организира в изпълнение на Националната програма за превенция и контрол на туберкулозата на здравното министерство.

Туберкулозата (на латински: Tuberculosis), разговорно наричана също охтика или особено в литературата „Жълтата гостенка“, е хронично протичащо специфично възпалително заболяване, което засяга предимно белите дробове, но може да засегне и централната нервна система, лимфните съдове, храносмилателната система, костите, ставите или кожата.

Специфичният причинител на туберкулозата е Mycobacterium tuberculosis, наречен още бацил на Кох. Той бива 5 основни типа (човешки, говежди, птичи, миши и поикилотермен), като епидемиологично значение за човека имат първите два. Лекува се с индивидуална антибиотична терапия. В прибалтийските страни са забелязани случаи на резистентни към известните лекарства щамове. Той се намира навсякъде в околната среда. Източник на заразата е болният от туберкулоза, който кашля. Повечето инфекции са асимптоматични и латентни. Но около една на десет латентни инфекции се развиват прогресивно и активират заболяването. Ако туберкулозата не се лекува, тя води до смърт при повече от 50% от инфектираните. Най-застрашени от заразяване и заболяване са контактните, т.е. живеещите и работещите в едно помещение с болния. Не всеки контактен се разболява. От туберкулоза се разболяват лица с потисната имунна система. Предразполагащи фактори са непълноценното и нерационалното хранене, стресът, преумората, злоупотребата с алкохол, тютюнопушенето, т.е. всичко, което срива защитата на организма. Рискови за заболяване от туберкулоза са и лица със захарен диабет, стомашно-чревни страдания, лекуваните продължително време с кортизонови препарати, провеждащите химио- и лъчелечение и др.

Класическите симптоми на активната туберкулозна инфекция са хронична кашлица с примесени с кръв храчки, температура, нощно потене и загуба на тегло. В миналото наричали туберкулозата „охтика“, заради загубата на тегло при инфектираните. 

Кърджали бг вести

Източник: Kardjali.bgvesti.NET

Facebook коментари

Коментари в сайта

Трябва да сте регистриран потребител за да можете да коментирате. Правилата - тук.

Още новини

Случаен виц

Последни новини