Преглеждат безплатно за туберкулоза в болницата в Кърджали

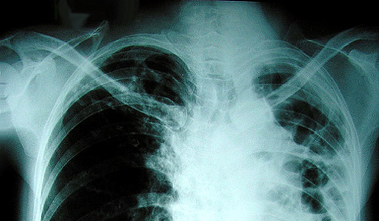
Седмица на отворените врати организира болницата в Кърджали от 19 до 23 юни във връзка с изпълнението на Националната програма за превенция и контрол на туберкулозата в България. Това съобщиха от здравното заведение.

Диабетици специалисти на пневмо-фтизиатричното отделение ще  извършват безплатно изследване на хора, които страдат от продължителна кашлица, често имат повишена температура,  имат  необяснима загуба на тегло.

Лекарите специалисти ще преглеждат в пневмо-фтизиатричното отделение на 6 етаж от 10 до 12 часа в болницата . За контакти  на тел. 0361 68443.

Източник: kardjali.bgvesti.net

Видеа по темата

Коментари в сайта

Последни новини