Нарастват тревожно случаите на туберкулоза в Кърджалийско, регистрираха поредния заболял

Тревожна тенденция се наблюдава през последните седмици в Кърджали.Плавно растат случаите на туберкулоза.Нов случай  бе регистриран от здравните власти в област Кърджали през изминалата седмица.С него общият брой на установените пациенти с „жълтата гостенка” стават 12,сред които и едно дете.Случай на туберкулоза бе установен само преди десетина дни в областта.

Увеличаване на белодробните заболявания отчитат специалистите в Седмицата на отворените врати, когато се направиха безплатни прегледи за диагностика и лечение на туберкулозата.

23 юни бе последния ден в който можехме да си направите безплатен преглед и диагностика на туберкулоза в МБАЛ ”Д-р Атанас Дафовски” в Кърджали. Безплатните прегледи  са част от кампанията "Седмица на отворените врати", която се организира в изпълнение на Националната програма за превенция и контрол на туберкулозата на здравното министерство.

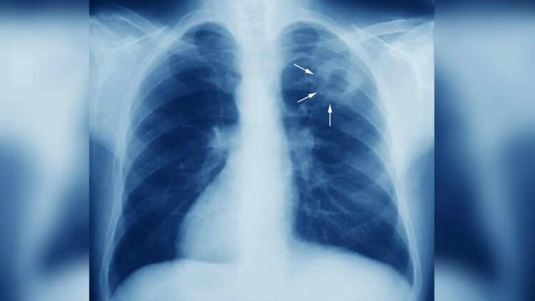
Туберкулозата (на латински: Tuberculosis), разговорно наричана също охтика или особено в литературата „Жълтата гостенка“, е хронично протичащо специфично възпалително заболяване, което засяга предимно белите дробове, но може да засегне и централната нервна система, лимфните съдове, храносмилателната система, костите, ставите или кожата.

Кърджали бг вести

Източник: Kardjali.bgvesti.NET

Facebook коментари

Коментари в сайта

Трябва да сте регистриран потребител за да можете да коментирате. Правилата - тук.

Още новини

Последни новини